
| Á¦¸ñ | 6¿ù ȨÇмú´ëȸ ½½¶óÀÌµå ½½¶óÀ̵å ÄÁÆÛ·±½º | ||||||||||||||||||||||||||||||||||||||||||||||||||||||||||||
| ÀÛ¼ºÀÚ | ÇÑÁ¤È£ | ÀÛ¼ºÀÏ | 2012-04-04 | Á¶È¸¼ö | 5583 | ||||||||||||||||||||||||||||||||||||||||||||||||||||||||
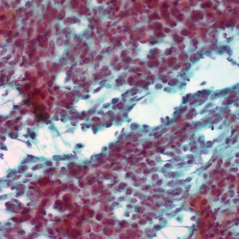
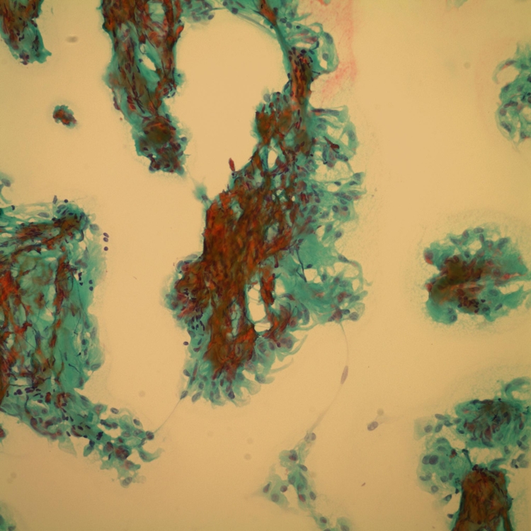
 ÀڷḦ scan ÇÏ¿© Áֽðí ȨÇÇ¿¡ ¿Ã·ÁÁֽŠ»ï¼º¼¿ïº´¿ø Àü°øÀÇ 4³âÂ÷ ÇÏ»óÀ±¼±»ý²² °¨»çµå¸³´Ï´Ù. 
 virual slide´Â 
 ID/ps: hanjho/1212 
 
 
 
 
 
  | 
              |||||||||||||||||||||||||||||||||||||||||||||||||||||||||||||
| ÷ºÎÆÄÀÏ | |||||||||||||||||||||||||||||||||||||||||||||||||||||||||||||
| ´ÙÀ½±Û [°øÁö]2012³âµµ ±â±Ý¿¬±¸ºñ Áö¿ø ÇÁ·ÎÁ§Æ® °ø¸ð | |||||||||||||||||||||||||||||||||||||||||||||||||||||||||||||
| ÀÌÀü±Û [Çʵ¶] ·Î±×ÀÎ ¾ÆÀ̵ð....... | |||||||||||||||||||||||||||||||||||||||||||||||||||||||||||||
