
| Á¦¸ñ | [°¡À»ÇÐȸ ½½¶óÀ̵å Áý´ãȸ] Áõ·Ê µî·Ï | ||||||||||||||||||||||||||||||||||||||||||||||||||||||||||||
| ÀÛ¼ºÀÚ | ÇÑÁ¤È£ | ÀÛ¼ºÀÏ | 2011-09-14 | Á¶È¸¼ö | 5430 | ||||||||||||||||||||||||||||||||||||||||||||||||||||||||
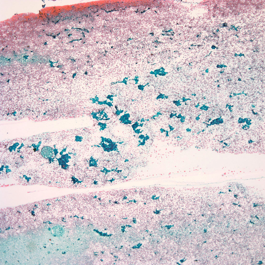
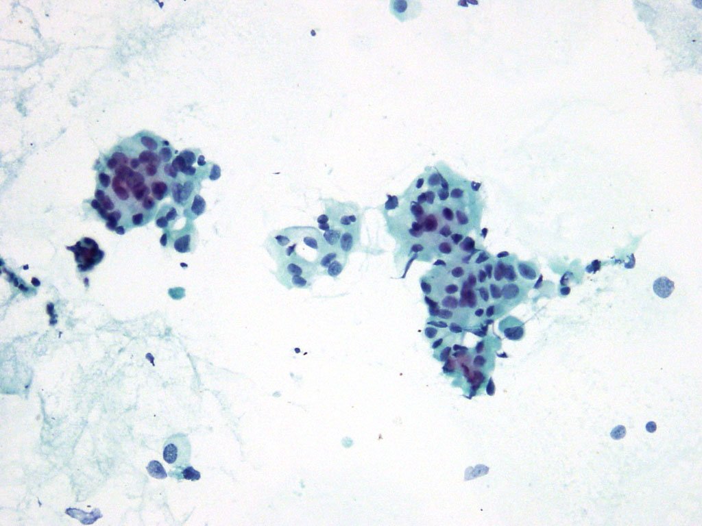
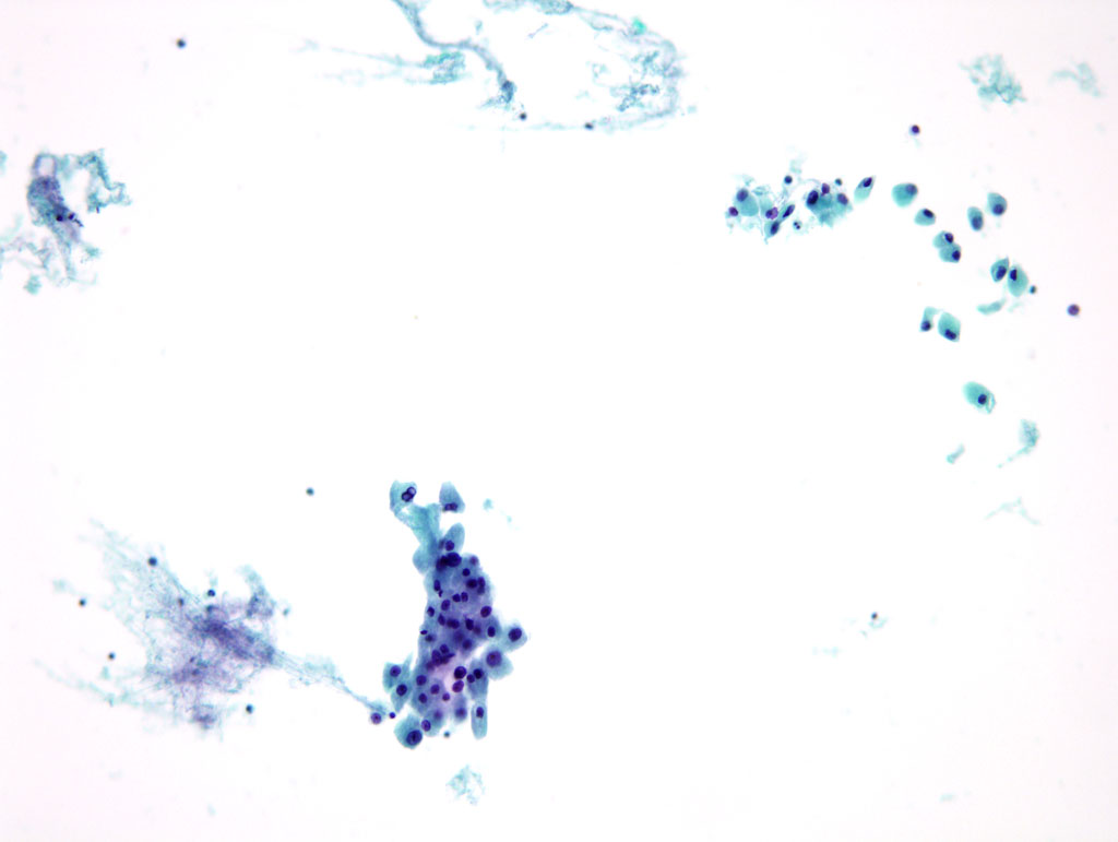
 Virtual Slides ´Â Webhard ¿¡¼ º¸½Ç ¼ö ÀÖ½À´Ï´Ù. ID: hanjho PS: 1212 
 »ï¼º¼¿ïº´¿ø R2 À̽ÂÀº ¼±»ýÀÌ ¼ö°íÇÏ¿© Áּ̽À´Ï´Ù. 
 
 
 
  | 
              |||||||||||||||||||||||||||||||||||||||||||||||||||||||||||||
| ÷ºÎÆÄÀÏ | |||||||||||||||||||||||||||||||||||||||||||||||||||||||||||||
| ´ÙÀ½±Û ȸ¿ø ¿¬È¸ºñ ³³ºÎ È®ÀÎ ¹æ¹ý ¾È³» | |||||||||||||||||||||||||||||||||||||||||||||||||||||||||||||
| ÀÌÀü±Û [°øÁö]2011³â Á¦23Â÷ °¡À»Çмú´ëȸ ½½¶óÀ̵å Áý´ãȸ ¾È³» | |||||||||||||||||||||||||||||||||||||||||||||||||||||||||||||
