
| Á¦¸ñ | 2011³â 2¿ù ½½¶óÀ̵å Áý´ãȸ ÅäÀÇÀÚ Á¦ÃâÀÚ ÆÄÀϵî·Ï | ||||||||||||||||||||||||||||||||||||||||||||||||||||||||||||
| ÀÛ¼ºÀÚ | Á¤º¸ÀÌ»ç | ÀÛ¼ºÀÏ | 2011-02-17 | Á¶È¸¼ö | 4728 | ||||||||||||||||||||||||||||||||||||||||||||||||||||||||
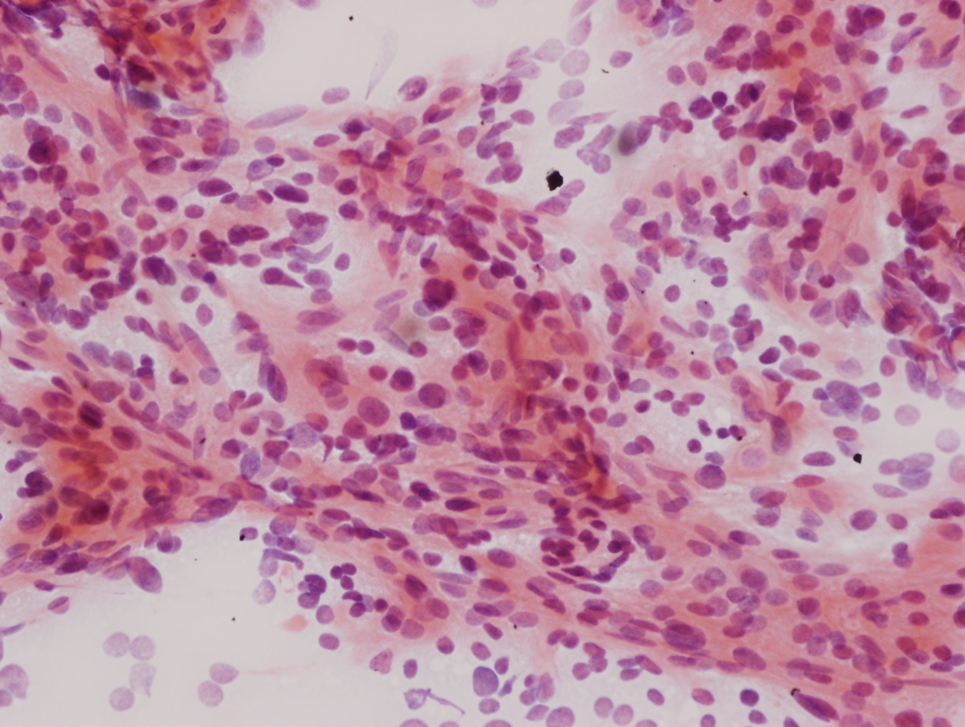
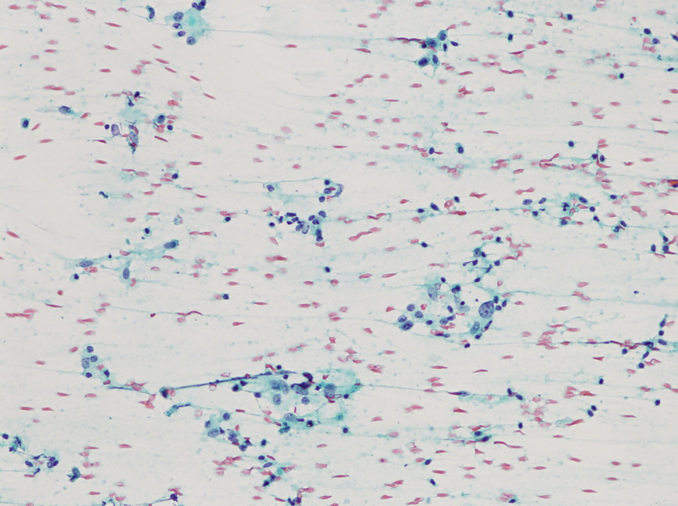
 2011³â 2¿ù ½½¶óÀ̵å Áý´ãȸ ÅäÀÇÀÚ Á¦ÃâÀÚ ÆÄÀÏÀÌ µî·ÏµÇ¾ú½À´Ï´Ù. ÇÐȸ »ç¹«±¹°ú »ï¼º¼¿ïº´¿ø ¼ºÁö¿¬ ¼±»ý´Ô²²¼ ¼ö°íÇÏ¿© Áּ̽À´Ï´Ù. 
 
  | 
              |||||||||||||||||||||||||||||||||||||||||||||||||||||||||||||
| ÷ºÎÆÄÀÏ | |||||||||||||||||||||||||||||||||||||||||||||||||||||||||||||
| ´ÙÀ½±Û [°øÁö]2011³â 4¿ù ¿ù·ÊÁý´ãȸ ¾È³»(4/1, ±Ý) | |||||||||||||||||||||||||||||||||||||||||||||||||||||||||||||
| ÀÌÀü±Û [°øÁö]2011³â 4¿ù ¿ù·ÊÁý´ãȸ¸¦ À§ÇÑ Áõ·ÊÁ¦Ã⠾ȳ»(2/10±îÁö) | |||||||||||||||||||||||||||||||||||||||||||||||||||||||||||||
