´ëÇѼ¼Æ÷º´¸®ÇÐȸ
HOME   LOGIN   JOIN   SITEMAP   CONTACT   ENGLISH    ¤Ó   
> ȸ¿ø°ø°£ > °øÁö»çÇ×
°øÁö»çÇ×
°øÁö»çÇ×
Á¦¸ñ 2010 °¡À»ÇÐȸ ½½¶óÀ̵å Áý´ãȸ ÅäÀÇÀÚ ¹× Á¦ÃâÀÚ ÆÄÀÏÀÌ µî·ÏµÇ¾ú½À´Ï´Ù.
ÀÛ¼ºÀÚ Á¤º¸ÀÌ»ç ÀÛ¼ºÀÏ 2010-11-06 Á¶È¸¼ö 4431
KCP
Áý´ãȸ¸í
Á¦Ãâ±â°ü
Organ
Sex
Age
Àǰß
Á¶È¸
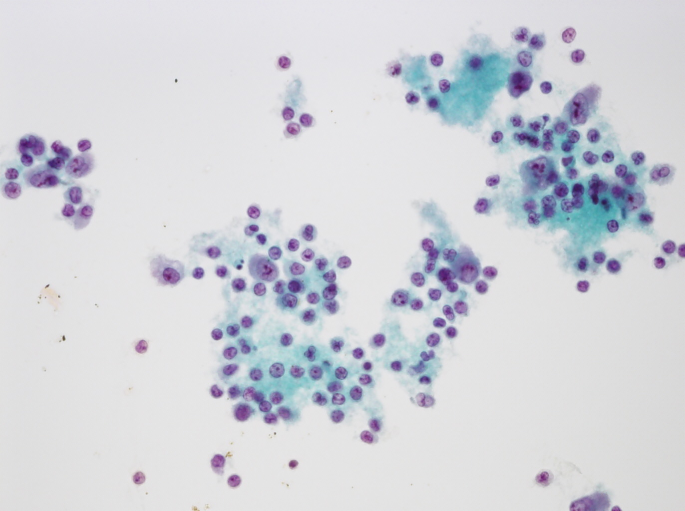
712
Àü³²´ëÇб³º´¿ø
È丷¾×
M
64
0°Ç
111
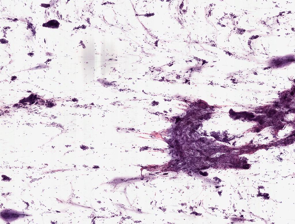
711
ÇѾç´ë±¸¸®º´¿ø
Æó
F
42
0°Ç
92
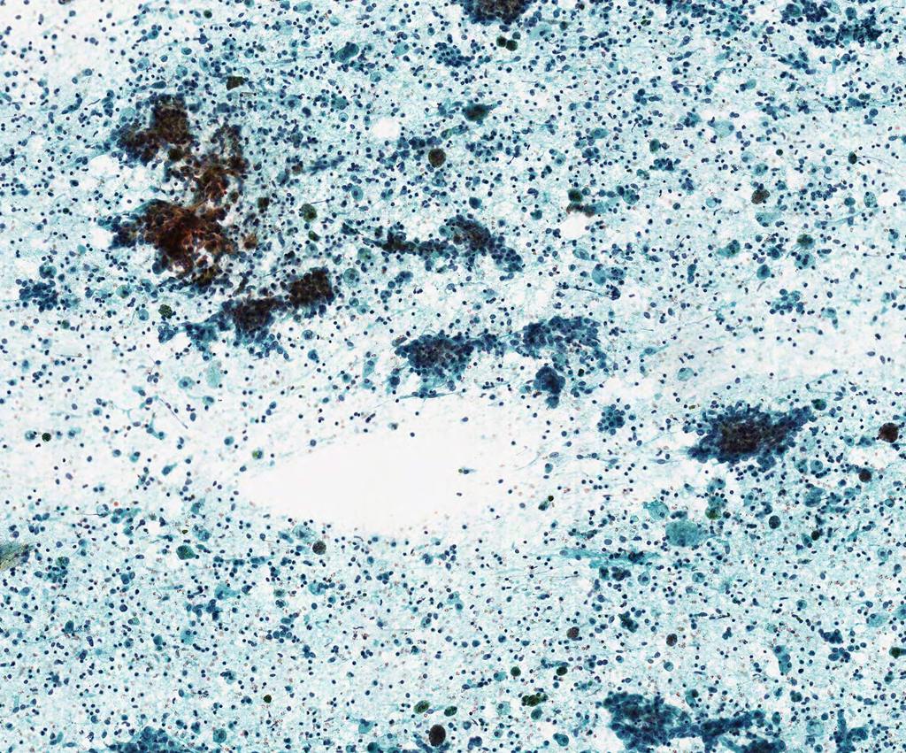
710
°í´ë¾È¾Ïº´¿ø
Æó
F
33
0°Ç
83
709
¼­¿ï´ëÇб³º´¿ø
Æó
M
63
0°Ç
72
708
»ó°è¹éº´¿ø
Æó
F
71
0°Ç
78
707
Çѱ¹¿øÀÚ·ÂÀÇÇпø
Æó
M
41
0°Ç
79
÷ºÎÆÄÀÏ
´ÙÀ½±Û   [°øÁö]±¹°úÀ§ »ó¼³È­ ÁöÁö ¼­¸í¿îµ¿ ÇùÁ¶¿äû
ÀÌÀü±Û  [°øÁö]2010³â °¡À»ÇÐȸ Àü¼¼¹ö½º ÃÖÁ¾ ¾È³»
(04195) ¼­¿ï½Ã ¸¶Æ÷±¸ ¸¸¸®Àç·Î 14, 1508È£ (°ø´öµ¿, Çѱ¹»çȸº¹Áöȸ°ü ¸£³×»ó½ºÅ¸¿ö)
l »ç¾÷ÀÚµî·Ï¹øÈ£:209-82-62797   l   ´ëÇ¥: ÃÖÀ±Á¤   l   e-mail: cytopathology@hanmail.net   l   tel : 02-593-6943   l   fax: 02-593-6944  
l   °³ÀÎÁ¤º¸Ã³¸®¹æÄ§   l   À̸ÞÀϹ«´Ü¼öÁý°ÅºÎ   l   Copyright (c) ´ëÇѼ¼Æ÷º´¸®ÇÐȸ ALL RIGHT RESERVED.